Four new recombinant antibodies have been added to our collection, with options in full and trial sizes!
Our recombinant chimeric chicken antibodies are genetically engineered to combine the antigen-binding portion from our well-characterized NeuroMab mouse monoclonal antibodies with the constant region of the chicken IgY antibody molecule, resulting in a hybrid antibody with unique advantages including easy multiplexing, increased reproducibility, lower background, animal-friendly production!
Learn more about recombinant antibodies!
Anti-Aldh1L1

Formalin-fixed paraffin-embedded section of rat cerebellum section stained with anti-AldhL1 recombinant chicken monoclonal antibody (brown, Cat No. 78-140) at 1:1000 dilution and counterstained with hematoxylin (blue). Anti-ALDH1L1 specifically stains the astrocytes in the cerebellum. Image courtesy of EnCor Biotechnology.
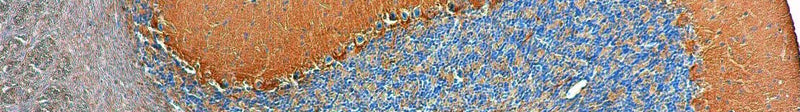
Anti-Cavα2δ2

Formalin fixed paraffin embedded section of rat cerebellum section stained with anti-Cavα2δ2 recombinant chicken monoclonal antibody (brown, Cat No. 78-530) and counterstained with hematoxylin (blue). Anti-Cavα2δ2 specifically stains the Purkinje cells in the cerebellum.
Anti-Cav2.3

Immunohistochemistry staining of adult rat brain section using anti-Cav2.3 NeuroMab mouse monoclonal antibody (Clone N493/22). The variable region of this antibody was used to generate recombinant chicken chimeric anti-Cav2.3 antibody (78-531).
Anti-Tenuerin-3

Formalin-fixed paraffin-embedded section of rat cerebellum section stained with anti-Teneurin-3 recombinant chicken monoclonal antibody (brown, Cat No. 78-532) and counterstained with hematoxylin (blue). Magnification: 200X
Check out our other chicken recombinant antibodies :
CALB1/Calbindin Calretinin GFAP Parvalbumin TMEM119
PSD-95 VGlut1 VGlut2 VGAT Homer1 Bassoon GAD65/67
Ankyrin-G LRRK2/Dardarin, CT Arl13b Beta-4 Spectrin TH
Nav1.1 Na+ Channel GluN2B/NR2B RGS14 Olig1 VAChT c-FOS
Pink1 Human Serum Albumin Cortactin Cytokeratin 8 M6PR Rab 9
