Anti-Cav alpha2 delta2 Recombinant Chicken Chimeric mAb Antibody (N492/39)
Our chicken Anti-Cav alpha2 delta2 recombinant monoclonal antibody is a chimeric antibody derived from NeuroMab clone N492/39. It detects human, mouse, and rat Cav alpha2 delta2, and is purified by affinity chromatography. It is great for use in ELISA, ICC, IHC, WB.
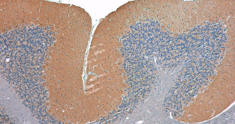
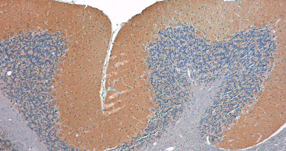
Representative image of formalin fixed paraffin embedded section
of rat cerebellum section stained with Aves Labs anti-Cavα2δ2 recombinant chicken monoclonal antibody (brown, Cat No. 78-530) and counterstained with hematoxylin (blue). Anti-Cavα2δ2 specifically stains the Purkinje cells in the cerebellum.
Click on image to zoom
Human, Mouse, Rat
ELISA, ICC, IHC, WB
Chicken
SKU: 78-530
Ships: 1-2 business days
Product Details
Cav alpha2 delta2
Cav α2δ2 is an auxiliary subunit of voltage-gated calcium channels that modulates channel trafficking, gating, and pharmacological properties. Encoded by the CACNA2D2 gene, this glycoprotein is synthesized as a single precursor that is post-translationally cleaved into the extracellular α2 and membrane-anchored δ2 subunits, linked by disulfide bonds. Cav α2δ2 enhances calcium current density by promoting the proper trafficking of pore-forming Cavα1 subunits to the plasma membrane and stabilizing them at synaptic sites. It plays a key role in neurotransmitter release, synaptic plasticity, and neuronal excitability. Altered expression or mutation of CACNA2D2 has been associated with neurological disorders, including epilepsy, cerebellar ataxia, and certain cancers, underscoring its importance in calcium channel regulation and disease pathophysiology.
Purified by affinity chromatography
1 mg/mL
Recombinant
N492/39
IgY
ELISA, ICC, IHC, WB
Chicken
Cacna2d2
130 kDa
Unconjugated
Recombinant protein amino acids 61-197 (extracellular domain) of mouse Cav alpha2 delta2 (also known as voltage-dependent R-type calcium channel subunit alpha-2/delta-2, Cacna2d2, accession number Q6PHS9) produced recombinantly in E.Coli.
Mouse
Human, Mouse, Rat
Aliquot and store at ≤ -20°C for long term storage. For short term storage, store at 2-8°C. For maximum recovery of product, centrifuge the vial prior to removing the cap.
Liquid
This recombinant antibody is a chimeric antibody created by replacing the mouse heavy and light constant regions clone N492/39 with chicken IgY heavy and light constant regions. As such this antibody retains the same binding performance as the original clone N492/39 but can be detected using standard anti-chicken secondary antibodies allowing flexibility for multiplexing applications. This antibody is expressed recombinantly in mammalian cells and then affinity purified from the cell culture media.
1X PBS, 0.05% Sodium Azide pH 7.4
WB: 1:1000
WB Brain: 1:1000
IHC: 1:250
WB Brain: 1:1000
IHC: 1:250
Unconjugated
No cross-reactivity reported
These antibodies are to be used as research laboratory reagents and are not for use as diagnostic or therapeutic reagents in humans.
United States
24 months from date of receipt
voltage-dependent R-type calcium channel subunit alpha-2/delta-2, Cacna2d2
Shipped on ice packs

