Anti-Aldh1L1 Recombinant Chicken Chimeric mAb (N103/39)
Our chicken Anti-Aldh1L1 recombinant monoclonal antibody is a chimeric antibody derived from NeuroMab clone N103/39. It detects human, mouse, non-human primate, and rat Aldh1L1, and is purified by affinity chromatography. It is great for use in ELISA, ICC, IHC, WB.
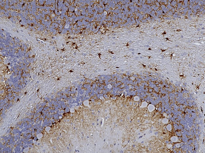
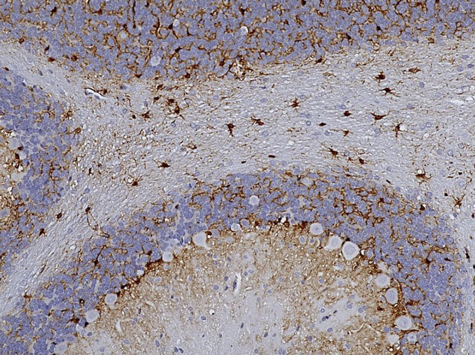
Representative image of formalin fixed paraffin embedded section of rat cerebellum section stained with anti-AldhL1 recombinant chicken monoclonal antibody (brown, Cat No. 78-140) at 1:1000 dilution and counterstained with hematoxylin (blue). Anti-ALDH1L1 specifically stains the astrocytes in the cerebellum. Image courtesy of EnCor Biotechnology.
Click on image to zoom
Human, Monkey, Mouse, Rat
ELISA, ICC, IHC, WB
Chicken
SKU: 78-140
Ships: 1-2 business days
Product Details
Aldh1L1
Aldehyde dehydrogenase family 1 member L1 (Aldh1L1) is a member of the aldehyde dehydrogenase family. This protein is an enzyme that catalyzes the conversion of 10-formyltetrahydrofolate, NADP, and water to tetrahydrofolate, NADPH, and carbon dioxide. It is an astrocyte marker and also is expressed in the liver. It is proposed to play a role in regulation of cellular THF levels and inhibiting cell proliferation. Alterations in Aldh1L1 have been implicated in Congenital Hydrocephalus
Purified by affinity chromatography
1 mg/mL
Recombinant
N103/39
IgY
ELISA, ICC, IHC, WB
Chicken
Aldh1l1 Fthfd
100 kDa
Unconjugated
Protein amino acids 1-902 (full-length) of rat Aldh1L1 (accession number P28037) produced recombinantly in E. Coli
Rat
Human, Monkey, Mouse, Rat
Aliquot and store at ≤ -20°C for long term storage. For short term storage, store at 2-8°C. For maximum recovery of product, centrifuge the vial prior to removing the cap.
Liquid
This recombinant antibody is a chimeric antibody created by replacing the mouse heavy and light constant regions clone N103/39 with chicken IgY heavy and light constant regions. As such this antibody retains the same binding performance as the original clone N103/39 but can be detected using standard anti-chicken secondary antibodies allowing flexibility for multiplexing applications. This antibody is expressed recombinantly in mammalian cells and then affinity purified from the cell culture media.
1X PBS, 0.05% Sodium Azide pH 7.4
WB: 1:1000-1:2000
WB Brain: 1:1000-1:2000
IHC: 1:250-1:1000
ICC: 1:100
WB Brain: 1:1000-1:2000
IHC: 1:250-1:1000
ICC: 1:100
Unconjugated
No cross-reactivity against Aldh1L2
These antibodies are to be used as research laboratory reagents and are not for use as diagnostic or therapeutic reagents in humans.
United States
24 months from date of receipt
Cytosolic 10-formyltetrahydrofolate dehydrogenase (10-FTHFDH) (FDH) (EC 1.5.1.6) (Aldehyde dehydrogenase family 1 member L1) (FBP-CI)
Shipped on ice packs

