Anti-CSPG4/NG2 Recombinant Chicken Chimeric mAb (6203-34)
Our chicken Anti-CSPG4/NG2 recombinant monoclonal antibody is a chimeric antibody derived from NeuroMab clone 6203-34. It detects human, mouse, and rat CSPG4/NG2 and is purified by affinity chromatography. It works in ELISA, ICC, IHC, WB.
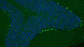
Immunohistochemistry for detection of CSPG4/NG2 in adult rat hippocampus using Aves Labs’ anti-CSPG4/NG2 recombinant chicken monoclonal antibody [6203-34] (Cat No. 78-523). Tissue was fixed with 4% paraformaldehyde and paraffin embedded. Heat induced antigen retrieval was performed using citrate buffer (Cat No. AR-6544) and then blocked with Immuno Protein Blocking Solution with Goat Serum (Cat No. AR-6591). The anti-CSPG4/NG2 antibody (Cat No. 78-523) was incubated with the sample at a dilution of 1:250 at 4C overnight. After washing with PBST, the sections were stained using goat anti-chicken IgY CF488 secondary antibody (Cat No. 80-1001-488) (green). DAPI nuclear stain (blue) shows cell nuclei.
Click on image to zoom
Human, Mouse, Rat
ELISA, ICC, IHC, WB
Chicken
SKU: 78-523
Ships: 1-2 business days
Product Details
CSPG4/NG2
Neuron-glial antigen 2 (NG2) is a chondroitin sulfate proteoglycan that is encoded by the CSPG4 gene in humans. It is an excellent oligodendrocyte marker. NG2 is a hallmark protein of oligodendrocyte progenitor cells (OPCs) and has been linked with familial schizophrenia (de Vrij, F.M., et al, 2018). NG2 also plays a role in stabilizing cell-substratum interactions during early events of melanoma cell spreading on endothelial basement membranes. It represents an integral membrane chondroitin sulfate proteoglycan expressed by human malignant melanoma cells (Luo, W., et al, 2006). NG2 localizes at the apical plasma membrane and relocalizes to the lamellipodia of astrocytoma upon PRKCA phosphorylation.
Purified by affinity chromatography
1 mg/mL
Recombinant
6203-34
IgY
ELISA, ICC, IHC, WB
Chicken
CSPG4/NG2
250 kDa
Unconjugated
Fusion protein amino acids S1583-S2224 of human CSPG4/NG2 (accession number Q6UVK1) produced in CHO cells
Human
Human, Mouse, Rat
Aliquot and store at ≤ -20°C for long term storage. For short term storage, store at 2-8°C. For maximum recovery of product, centrifuge the vial prior to removing the cap.
Liquid
This recombinant antibody is a chimeric antibody created by replacing the mouse heavy and light constant regions of clone 6203-34 with chicken IgY heavy and light constant regions. As such this antibody retains the same binding performance as the original clone 6203-34 but can be detected using standard anti-chicken secondary antibodies allowing flexibility for multiplexing applications. This antibody is expressed recombinantly in mammalian cells and then affinity purified from the cell culture media.
1X PBS, 0.05% Sodium Azide pH 7.4
WB: 1:100-1:1000
WB Brain: 1:100-1:1000
IHC: 1:100-1:250
ICC: 1:100-1:250
WB Brain: 1:100-1:1000
IHC: 1:100-1:250
ICC: 1:100-1:250
Unconjugated
No cross-reactivity reported
Each new lot of antibody is quality control tested by Western blot on rat whole brain lysate and confirmed to stain the expected molecular weight band.
These antibodies are to be used as research laboratory reagents and are not for use as diagnostic or therapeutic reagents in humans.
United States
24 months from date of receipt
Chondriotin Sulfate Proteoglycan 4, CSPG4, NG2, MSK16, MCSPG, Chondroitin Sulfate Proteoglycan NG2
Shipped on ice packs

