Anti-Neuronal nuclei antigen NeuN/FOX3 Antibody
Our Anti-Neuronal nuclei antigen [NeuN] / RNA binding protein fox-1 homolog 3 [FOX3] (NeuN/FOX3) rabbit polyclonal primary antibody detects human, mouse, and rat Neuronal nuclei antigen [NeuN] / RNA binding protein fox-1 homolog 3 [FOX3] (NeuN/FOX3), and is affinity-purified. It is validated for use in IF, ICC, IHC, WB.
![Image of a rat brain section by Immunofluorescence and Immunohistochemistry. The section was stained with R-3771-50, Neuronal nuclei antigen [NeuN] /RNA binding protein fox-1 homolog 3 [FOX3], (NeuN/FOX3), Rabbit pAb, (red, 1:2,000), and co-stained with product C-1382-50, Microtubule associated protein (MAP2), Chicken pAb, (green, 1:5,000). Product R-3771-100 selectively stains nuclei and cytoplasm of neuronal cells, while product C-1382-50 labels dendrites and overlaps with Fox3/NeuN staining in the perikarya of neurons. Method: following transcardial perfusion with 4% paraformaldehyde, the brain was post fixed for 24 hours, cut to 45 um sections, and free-floating sections were stained with the two antibodies.](http://www.antibodiesinc.com/cdn/shop/files/r-3771-100-ihc-1_120x120.jpg?v=1759274886)
![Analysis by western blot of NeuN/FOX3 expression in whole brain lysates, cytosolic (cyt) and nuclear enriched (nuc) with R-3771-100, Neuronal nuclei antigen [NeuN] /RNA binding protein fox-1 homolog 3 [FOX3], (NeuN/FOX3), Rabbit pAb, (green, 1:1,000) with two bands at approx 46kDa and 48kDa corresponding to the two alternate transcripts of the of NeuN/FOX3 protein. Lane 1: protein standard (red); Lane 2: rat cyt; Lane 3:rat nuc; Lane 4:mouse cyt; Lane 5: mouse nuc lysate. Blot performed under non-reducing conditions.](http://www.antibodiesinc.com/cdn/shop/files/r-3771-100-wb_120x120.jpg?v=1759274886)
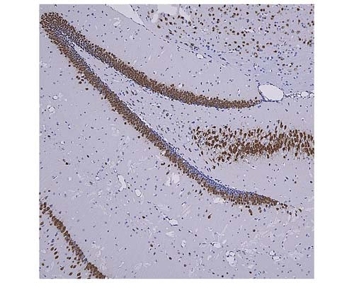
![Image of formalin-fixed paraffin-embedded mouse hippocampus section by Immunohistochemistry. The section was stained with R-3771-100, Neuronal nuclei antigen [NeuN] /RNA binding protein fox-1 homolog 3 [FOX3], (NeuN/FOX3), Rabbit pAb, (brown, 1:4,000). Product R-3771-100 selectively stains the nuclei and distal perikaryal of most neuronal cell populations.](http://www.antibodiesinc.com/cdn/shop/files/r-3771-100-ihc-2_120x120.jpg?v=1759274886)
Image of a rat brain section by Immunofluorescence and Immunohistochemistry. The section was stained with R-3771-50, Neuronal nuclei antigen [NeuN] /RNA binding protein fox-1 homolog 3 [FOX3], (NeuN/FOX3), Rabbit pAb, (red, 1:2,000), and co-stained with product C-1382-50, Microtubule associated protein (MAP2), Chicken pAb, (green, 1:5,000). Product R-3771-100 selectively stains nuclei and cytoplasm of neuronal cells, while product C-1382-50 labels dendrites and overlaps with Fox3/NeuN staining in the perikarya of neurons. Method: following transcardial perfusion with 4% paraformaldehyde, the brain was post fixed for 24 hours, cut to 45 um sections, and free-floating sections were stained with the two antibodies.
Click on image to zoom
SKU: R-3771-100
Product Details
Neuronal nuclei antigen [NeuN] / RNA binding protein fox-1 homolog 3 [FOX3] (NeuN/FOX3)
FOX3 is one of a family of mammalian homologues of FOX1 (FOX is an acronym of "Feminizing locus on X"). The FOX proteins are about 46 kDa in size, and each includes a central highly conserved RRM type RNA recognition motif. Much interest has focused on FOX3 as a result of the recent finding that this protein corresponds to NeuN, a neuronal nuclear antigen. NeuN/FOX3 functions as a Pre-mRNA alternative splicing regulator. It regulates alternative splicing of RBFOX2 to enhance the production of mRNA species that are targeted for nonsense-mediated decay (NMD) and is expressed heavily and specifically in neuronal nuclei and cytoplasm. In the cerebellum, Fox3 does not stain Purkinje neurons or Golgi neurons. The antibody was raised against a peptide corresponding to amino acids 5-24 of human FOX3 sequence. The full length FOX3 is not used as the immunogen since the three mammalian FOX homologues, namely FOX1, FOX2 and FOX3, include virtually identical RRM motifs. The N-terminal region of the three molecules are much more variable in the three molecules, so antibodies specific for each of the three molecules can therefore be generated.
Affinity-purified
Polyclonal
IgG
ICC, IF, IHC, WB
Rabbit
The antibody has been made against a peptide corresponding to N-terminal sequence (amino acids 5-24) of human FOX3 coupled to keyhole limpet hemocyanin (KLH).
Human
Human, Mouse, Rat
Spin vial briefly before opening. Reconstitute with 100 µL sterile-filtered, ultrapure water. Centrifuge to remove any insoluble material. Store lyophilized antibody at 2-8°C After reconstitution of lyophilized antibody, aliquot and store at -20°C for a higher stability. Avoid freeze-thaw cycles. Store at 4°C for up to one month for short term storage and frequent use.
Lyophilized
Lyophilized from PBS buffer pH 7.2-7.6 with 0.1% trehalose, and sodium azide
WB: 1:500-1:1000
IHC: 1:5000-1:10000
ICC: 1:5000-1:10000
IHC: 1:5000-1:10000
ICC: 1:5000-1:10000
Unconjugated
Species cross-reactivity includes human, rat, and mouse.
For research use only.
United States
Store at 2-8°C for up to 3 months. For longer storage, aliquot and store at -20°C for up to 12 months.
Neuronal nuclei antigen, NeuN, NA binding protein fox-1 homolog 3, Fox3, NeuN, A6NFN3, RBFOX3, Fox-1 homolog C
25°C (ambient)