Anti-Ghrelin Antibody
Our Anti-Ghrelin guinea pig polyclonal primary antibody detects human and sheep Ghrelin, and is whole serum. It is validated for use in IHC-Frozen.
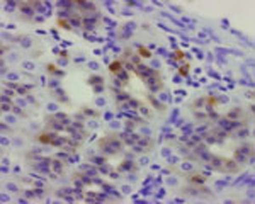
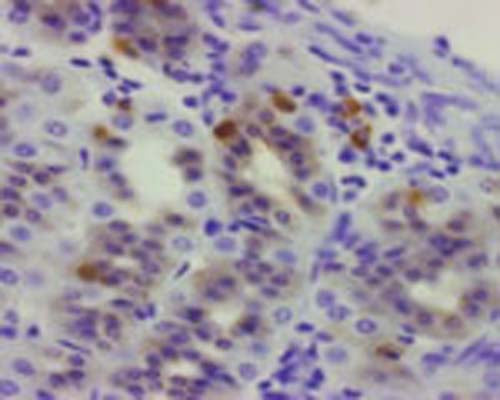
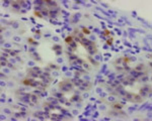
Paraffin-embedded sheep abomasum was incubated in guinea pig polyclonal antibodies to the human ghrelin protein at the dilution of 1:1000 overnight followed by incubation with biotinylated secondary antibodies. Cell bodies and nerve terminals in the sheep abomasum are intensely stained. This figure shows staining of cells when no pre-absorption is performed.
Click on image to zoom
SKU: GP-032-50
Product Details
Ghrelin
Ghrelin is the ligand for growth hormone secretagogue receptor type 1 (GHSR) and upon binding to the receptor it induces the release of growth hormone from the pituitary. This ligand has an appetite-stimulating effect and is involved in growth regulation.
Whole serum
Polyclonal
Mixed
IHC
Guinea Pig
A synthetic peptide (GSSFLSPEHQRVQQRKESKKPPAKLQPR) corresponding to the amino acids 24-51 from human ghrelin. This peptide was conjugated to carrier protein to enhance the immunological response.
Human
Human, Sheep
Spin vial briefly before opening. Reconstitute in 50 µL sterile-filtered, ultrapure water. Centrifuge to remove any insoluble material. Store lyophilized antibody at 2-8°C or lower. After reconstitution, divide into aliquots and store at -20°C, or lower, for optimal long term stability. It is recommended that a reconstituted aliquot is stored at 2-8°C for no longer than 2 weeks. Allocation of an appropriate anti-bacterial agent can increase shelf life by several weeks. Glycerol (1:1) can be added to neat serum for additional stability if intended use does not prevent this.
Lyophilized
Neat serum.
IHC: 1:3000
IHC performed in sheep abomasum demonstrates intense staining of cells and terminals. No staining is evident when the primary antibody is pre-absorbed with 0.5 mg/mL of human ghrelin.
Unconjugated
Specificity was demonstrated by immunohistochemistry. This antibody is known to react with sheep and human. Other species have not yet been tested.
For research use only.
United States
12 months after date of receipt (lyophilized, unopened vial).
Appetite-regulating hormone; Growth hormone secretagogue; Growth hormone-releasing peptide; Motilin-related peptide; M46 protein
25°C (ambient)

