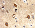
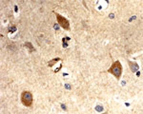
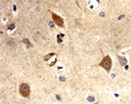
Anti-Superoxide dismutase 1 (SOD1) Antibody

Our Anti-Superoxide dismutase 1 (SOD1) rabbit polyclonal primary antibody detects human Superoxide dismutase 1 (SOD1), and is whole serum. It is validated for use in ICC, IHC-Frozen, IHC-Paraffin-embedded, WB.



SKU: R-168-100

Volume/Size: 100 µL
Price:
Sale price$337.00

Bulk Order Anti-Superoxide dismutase 1 (SOD1) Antibody

Related Products

Recently Viewed