Anti-NG2/CSPG4 Antibody
Our NG2/CSPG4 rabbit polyclonal primary antibody from PhosphoSolutions is produced in-house. It detects NG2/CSPG4 and is antigen affinity purified from pooled serum. It is great for use in WB, IHC.
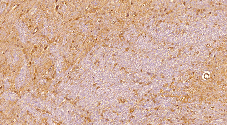
Immunostaining of a sagittal section of FFPE rat brain showing strong staining of oligodendrocyte precursor cells (OPC) in the hippocampus using our anti-NG2/CSPG4 (DAB, 1:200) and detected with anti-rabbit HRP. The section is counterstained with hematoxylin to identify DNA (blue).
Click on image to zoom
SKU: 1360-NG2
Ships: 1-2 business days
Product Details
NG2/CSPG4
Neuron-glial antigen 2 (NG2) is a chondroitin sulfate proteoglycan that is encoded by the CSPG4 gene in humans. It is an excellent oligodendrocyte marker. NG2 is a hallmark protein of oligodendrocyte progenitor cells (OPCs) and has been linked with familial schizophrenia (de Vrij, F.M., et al, 2018). NG2 also plays a role in stabilizing cell-substratum interactions during early events of melanoma cell spreading on endothelial basement membranes. It represents an integral membrane chondroitin sulfate proteoglycan expressed by human malignant melanoma cells (Luo, W., et al, 2006). NG2 localizes at the apical plasma membrane and relocalizes to the lamellipodia of astrocytoma upon PRKCA phosphorylation.
Antigen Affinity Purified from Pooled Serum
Polyclonal
IgG
ICC, WB
Rabbit
CSPG4
250 kDa
Recombinant human NG2/CSPG4 protein
Human
Human, Mouse, Rat
AB_2927667
Storage at -20°C is recommended, as aliquots may be taken without freeze/thawing due to presence of 50% glycerol. Stable for at least 1 year at -20°C.
Liquid
Prepared from pooled rabbit serum by affinity purification using a column to which the recombinant protein antigen was coupled.
10 mM HEPES (pH 7.5), 150 mM NaCl, 100 µg per ml BSA and 50% glycerol.
WB: 1:1000
WB Brain: 1:1000
IHC: 1:200
WB Brain: 1:1000
IHC: 1:200
Unconjugated
Specific for endogenous levels of the ~250 kDa NG2/CSPG4 protein
Western blots performed on each lot.
For research use only. Not intended for therapeutic or diagnostic use. Use of all products is subject to our terms and conditions, which can be viewed on our website.
United States
After date of receipt, stable for at least 1 year at -20°C.
4732461B14Rik antibody, AN2 antibody, AN2 proteoglycan antibody, Chondroitin sulfate proteoglycan 4 (melanoma-associated) antibody, Chondroitin sulfate proteoglycan 4 antibody, Chondroitin sulfate proteoglycan NG2 antibody, Cspg4 antibody, Cspg4 chondroitin sulfate proteoglycan 4 antibody, CSPG4_HUMAN antibody, HMW-MAA antibody, HSN tumor-specific antigen antibody, Kiaa4232 antibody, MCSP antibody, MCSPG antibody, MEL-CSPG antibody, Melanoma chondroitin sulfate proteoglycan antibody, Melanoma-associated chondroitin sulfate proteoglycan antibody, MELCSPG antibody, MSK16 antibody, NG2 antibody
1464
Blue Ice
- Western Blot Protocol: Download

