Anti-Brain-derived neurotrophic factor (BDNF) Antibody
Our Anti-Brain-derived neurotrophic factor (BDNF) rabbit polyclonal primary antibody detects human, mouse, other mammals (predicted), and rat Brain-derived neurotrophic factor (BDNF), and is whole serum. It is validated for use in ELISA, IHC-Frozen, WB.
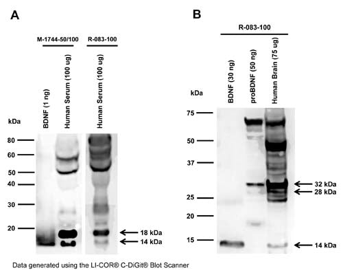
Western blot analysis of BDNF expression in SH-SY5Y cell lysate. Polyclonal rabbit BDNF antibody to BDNF (129-138; here whole serum antibody R-083-100 at 1:1000 dilution is shown) detects monomeric BDNF at 14 kDa and monomeric proBDNF at 32 kDa. An additional 28 kDa band is prominent which might relate to BDNF dimer or truncated BDNF isoform (Tongiorgi et al., 2012). Western Blotting Method: SDS-PAGE: denaturing and reducing, 12% Bis-Tris gel; Transfer: Tris-Glycine buffer, semi-dry transfer; Membrane: nitrocellulose (0.22 µm); Blocking: 5% skim milk in TBST, 1 hour at RT; Primary antibody: overnight at 4°C; Secondary antibody: anti-rabbit-HRP (1/6000), 2 hours at RT; Detection: Chemiluminiscence.
Click on image to zoom
SKU: R-083-100
Ships: 1-2 business days
Product Details
Brain-derived neurotrophic factor (BDNF)
BDNF belongs to the neurotrophin family and regulates the survival and differentiation of neurons during development. The alterations in BDNF expression induced by various kinds of brain insult including stress, ischemia, seizure activity and hypoglycemia, may contribute to some pathologies such as depression, epilepsy, Alzheimer's, and Parkinson's disease. Microglia release BDNF that may contribute to neuroinflammation and neuropathic pain. FUNCTION: Promotes the survival of neuronal populations that are all located either in the central nervous system or directly connected to it. Major regulator of synaptic transmission and plasticity at adult synapses in many regions of the CNS. The versatility of BDNF is emphasized by its contribution to a range of adaptive neuronal responses including long-term potentiation (LTP), long-term depression (LTD), certain forms of short-term synaptic plasticity, as well as homeostatic regulation of intrinsic neuronal excitability. SUBUNIT: Monomers and homodimers. Binds to NTRK2/TRKB. SUBCELLULAR LOCATION: Secreted protein. POst translation modification: Converted into mature BDNF by plasmin (PLG). SIMILARITY: Belongs to the NGF-beta family.
Whole serum
Polyclonal
Mixed
ELISA, IHC, WB
Rabbit
14, 18, 28, 32 kDa (see application details)
A synthetic peptide (HSDPARRGEL) as a part of human BDNF protein (aa: 129-138) conjugated to KLH has been used as the immunogen. The BDNF protein sequence is highly conserved amongst primates.
Human
Human, Mouse, Rat
Spin vial briefly before opening. Reconstitute in 100 µL sterile-filtered, ultrapure water. Centrifuge to remove any insoluble material. After reconstitution keep aliquots at -20°C for a higher stability, and at 2-8°C with an appropriate antibacterial agent. Glycerol (1:1) may be added for an additional stability. Avoid repetitive freeze/thaw cycles.
Lyophilized
ELISA: 1:1000-1:5000 (detection only)
Western Blotting: This antibody detects multiple BDNF isoforms (14 kDa mature BDNF, 18 kDa isoform, 28 kDa BDNF dimer/truncated BDNF, 32 kDa proBDNF monomer) depending on sample application (human serum, cell lysate, tissue homogenate). Antibody also detects BDNF under non-reducing conditions (McLean NA, 2014).
Unconjugated
Less than 0.1% cross reactivity with mouse NGF, recombinant human NT3 and NT4/5 has been recorded by dot blot analysis. This antiserum is known to recognize rat, mouse and human BDNF, and is expected to react with BDNF from other species due to amino acid sequence homology.
For research use only.
United States
12 months after date of receipt (unopened vial).
Brain-derived neurotrophic factor; Abrineurin; proBDNF;
25°C (ambient)

