Anti-Beta-nerve growth factor (Beta-NGF) Antibody
Our Anti-Beta-nerve growth factor (Beta-NGF) rabbit polyclonal primary antibody detects avian, human, mouse, and rat Beta-nerve growth factor (Beta-NGF), and is IgG. It is validated for use in ELISA, IHC-Frozen, Neutralization, WB.
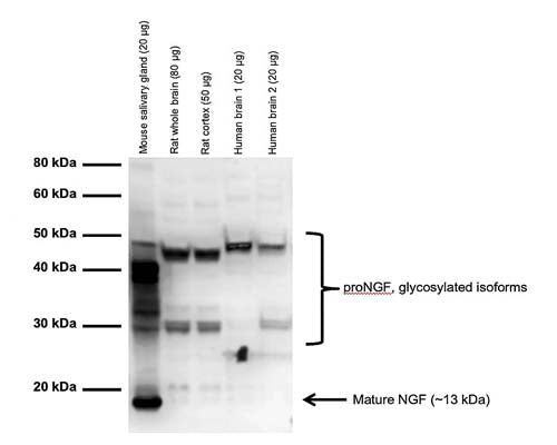
Western Blot analysis of NGF expression in rodent and human homogenates. Mature NGF is detected in mouse salivary gland homogenate at ~13 kDa, while tissue samples reveal predominantly proNGF isoforms at higher molecular weights. This is consistent with the observation that proNGF is the predominant isoform in brain tissue (Fahnenstock et al., 2001). Several proNGF-bands are observed, likely representing differently glycosylated proNGF-isoforms as reported by Reinshagen et al., 2000, Lobos et al., 2005, Pedraza et al., 2005 and Pundavela et al., 2014.
Western Blotting Method: SDS-PAGE: denaturing and reducing, 10% Bis-Tris gel; Semi-Dry Transfer: Tris-Glycine (Towbins) buffer with 20% methanol; Membrane: PVDF (0.45 µm); Blocking: 5% skim milk in TBST, 1 hour at RT; Primary antibody: 5 µg/mL, overnight at 2-8°C; Secondary antibody: anti-rabbit-HRP (1/20,000), 2 hours at RT; Detection: Chemiluminiscence.
Click on image to zoom
Western Blotting Method: SDS-PAGE: denaturing and reducing, 10% Bis-Tris gel; Semi-Dry Transfer: Tris-Glycine (Towbins) buffer with 20% methanol; Membrane: PVDF (0.45 µm); Blocking: 5% skim milk in TBST, 1 hour at RT; Primary antibody: 5 µg/mL, overnight at 2-8°C; Secondary antibody: anti-rabbit-HRP (1/20,000), 2 hours at RT; Detection: Chemiluminiscence.
SKU: R-093-500
Ships: 1-2 business days
Product Details
Beta-nerve growth factor (Beta-NGF)
FUNCTION: Nerve growth factor is important for the development and maintenance of the sympathetic and sensory nervous systems. It stimulates division and differentiation of sympathetic and embryonic sensory neurons. SUBUNIT: Homodimer, associated by noncovalent forces. SUBCELLULAR LOCATION: Secreted protein. SIMILARITY: Belongs to the NGF-beta family.
IgG
Polyclonal
IgG
ELISA, IHC, Neutralize, WB
Rabbit
Native mouse beta NGF purified from submaxillary salivary gland (95% purity by PAGE)
Mouse
Human, Mouse, Rat
Spin vial briefly before opening. Reconstitute in 500 µL sterile ultrapure water. Centrifuge to remove any insoluble material. Store lyophilized antibody at 2-8°C. After reconstitution keep aliquots at -20°C to -80°C for a higher stability, and at 2-8°C with an appropriate antibacterial agent. Avoid repetitive freeze/thaw cycles. Glycerol (1:1) may be added for an additional stability.
Lyophilized
Protein G purified IgG
Lyophilized from PBS, pH 7.2-7.6 without preservatives
WB: 1-3 µg/mL
IHC: 1-3 µg/mL
ELISA: 1-3 µg/mL
IHC: 1-3 µg/mL
ELISA: 1-3 µg/mL
A concentration of 1-3 µg/mL is recommended for inhibition of biological activity in vitro. Use neat for in vivo studies at 2-10 µg/mL (ED50). This antibody was tested on cultured sensory neurons supported by 100 ng/mL of purified mouse beta NGF. Be advised that 2 µg/mL will neutralize 100 ng/mL of mouse NGF. The higher 10 µg/mL is only recommended if the concentration of NGF being used is higher than 100 ng/mL such as the 200 or 500 ng/mL that is occasionally used in some culture systems. This antiserum completely inhibits neuronal survival and the outgrowth actions of murine NGF in chicken DRG in vitro.
Unconjugated
A cross reactivity of less than 1% to recombinant human BDNF, NT3, NT4/5 by ELISA has been shown. This antiserum is known to cross react with mouse, rat, human and avian NGF but not bovine NGF.
For research use only.
United States
12 months after date of receipt (unopened vial).
Beta-nerve growth factor
25°C (ambient)

