Anti-Beta-nerve growth factor (beta-NGF) Antibody
Our Anti-Beta-nerve growth factor (beta-NGF) rabbit polyclonal primary antibody detects avian, human, mouse, and rat Beta-nerve growth factor (beta-NGF), and is whole serum. It is validated for use in ELISA, IHC-Frozen, Neutralization, WB.
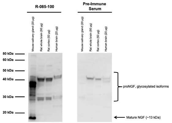
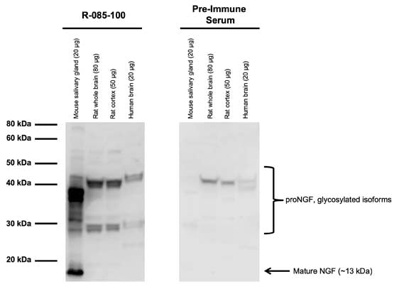
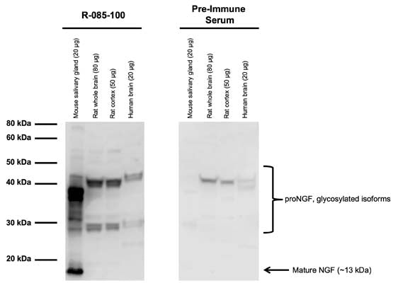
Western Blot analysis of NGF expression in rodent and human homogenates. Mature NGF is detected in mouse salivary gland homogenate at ~13 kDa, while tissue samples reveal predominantly proNGF isoforms at higher molecular weights. This is consistent with the observation that proNGF is the predominant isoform in brain tissue (Fahnenstock et al., 2001). Several proNGF-bands are observed, likely representing differently glycosylated proNGF-isoforms as reported by Reinshagen et al., 2000, Lobos et al., 2005, Pedraza et al., 2005 and Pundavela et al., 2014. Incubation of membrane with pre-immune serum reveals some non-specific bands at ~40 kDa, while overall confirming NGF-immunoreactivity.
Western Blotting Method: SDS-PAGE: denaturing and reducing, 10% Bis-Tris gel; Semi-Dry Transfer: Tris-Glycine (Towbins) buffer with 20% methanol; Membrane: PVDF (0.45 µm); Blocking: 5% skim milk in TBST, 1 hour at RT; Primary antibody: 5 µg/mL, overnight at 2-8°C; Secondary antibody: anti-rabbit-HRP (1/20,000), 2 hours at RT; Detection: Chemiluminiscence.
Click on image to zoom
Western Blotting Method: SDS-PAGE: denaturing and reducing, 10% Bis-Tris gel; Semi-Dry Transfer: Tris-Glycine (Towbins) buffer with 20% methanol; Membrane: PVDF (0.45 µm); Blocking: 5% skim milk in TBST, 1 hour at RT; Primary antibody: 5 µg/mL, overnight at 2-8°C; Secondary antibody: anti-rabbit-HRP (1/20,000), 2 hours at RT; Detection: Chemiluminiscence.
SKU: R-085-100
Product Details
Beta-nerve growth factor (beta-NGF)
FUNCTION: Nerve growth factor is important for the development and maintenance of the sympathetic and sensory nervous systems. It stimulates division and differentiation of sympathetic and embryonic sensory neurons. SUBUNIT: Homodimer, associated by noncovalent forces. SUBCELLULAR LOCATION: Secreted protein. SIMILARITY: Belongs to the NGF-beta family.
Whole serum
Polyclonal
Mixed
ELISA, IHC, Neutralize, WB
Rabbit
Native mouse beta NGF purified from submaxillary salivary gland (95% purity by PAGE)
Mouse
Human, Mouse, Rat
Spin vial briefly before opening. Reconstitute in 100 µL of sterile-filtered, ultrapure water. Centrifuge to remove any insoluble material. Store lyophilized antibody at 2-8°C. After reconstitution keep aliquots at -20°C to -80°C for a higher stability, and at 2-8°C with an appropriate antibacterial agent. Avoid repetitive freeze/thaw cycles. Glycerol (1:1) may be added for an additional stability.
Lyophilized
WB: 1:1000-1:5000
IHC: 1:1000-1:5000
ELISA: 1:15000
IHC: 1:1000-1:5000
ELISA: 1:15000
IHC, 1-site ELISA, WB, immunoblot, inhibition of biological activity. For inhibition of biological activity: 1:10-50 for in vitro, 5-10 µL/g body weight for in vivo. This antiserum completely inhibits neuronal survival and the outgrowth actions of murine NGF in chicken DRG in vitro.
Unconjugated
A cross reactivity of less than 1% to recombinant human BDNF, NT3, NT4/5 by ELISA has been shown. This antiserum is known to cross react with mouse, rat, human and avian NGF bot not bovine NGF.
For research use only.
United States
12 months after date of receipt (unopened vial).
Beta-nerve growth factor
25°C (ambient)

