Anti-Superoxide dismutase 1 (SOD1) Antibody
Our Anti-Superoxide dismutase 1 (SOD1) rabbit polyclonal primary antibody detects human Superoxide dismutase 1 (SOD1), and is whole serum. It is validated for use in ICC, IHC-Frozen, IHC-Paraffin-embedded, WB.


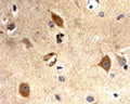
Immunohistochemical detection (DAB staining) of superoxide dismutase (SOD1) in paraffin embedded human brain tissue using Rabbit antibody to superoxide dismutase (SOD1; 121-139): whole serum (R-168-100) at a dilution of 1: 100 incubated overnight. Secondary antibody was biotinylated goat anti-rabbit used at a dilution of 1: 3000 together with Vector ABC. This antibody labels neurons and some glial cells in human brain tissue. Other tissues have not yet been tested.
Click on image to zoom
SKU: R-168-100
Product Details
Superoxide dismutase 1 (SOD1)
SOD1 binds copper and zinc ions ans is one of two isozymes responsible for destroying free superoxide radicals which are normally produced within the cells and which are toxic to biological systems. SOD1 is a soluble cytoplasmic protein, acting as a homodimer to convert superoxide radicals to molecular oxygen and hydrogen peroxide. Defects in SOD1 are the cause of amyotrophic lateral sclerosis type 1 (ALS1) which is a neurodegenerative disorder affecting upper and lower motor neurons and resulting in fatal paralysis.
Whole serum
Polyclonal
Mixed
ICC, IHC, WB
Rabbit
A peptide (HEKADDLGKGGNEESTKTG) corresponding to the amino acids 121-139 of human superoxide dismutase (SOD1) conjugated to diphtheria toxin has been used as the immunogen.
Human
Human
Spin vial briefly before opening. Reconstitute in 100 µL sterile-filtered, ultrapure water. Centrifuge to remove any insoluble material. After reconstitution keep aliquots at -20°C for a higher stability, and at 2-8°C with an appropriate antibacterial agent. Avoid repetitive freeze/thaw cycles. Glycerol (1:1) may be added for an additional stability.
Lyophilized
WB: 1:1000-1:4000
IHC: 1:100-1:1000
IHC: 1:100-1:1000
Unconjugated
This antibody has been shown to be specific for superoxide dismutase (SOD1) protein. Human. Does not detect mouse and rat SOD1.
For research use only.
United States
12 months after date of receipt (unopened vial).
Superoxide dismutase; SOD1;
25°C (ambient)