Anti-Eukaryotic translation initiation factor 2C (elF2c) Antibody
Our Anti-Eukaryotic translation initiation factor 2C (elF2c) rabbit polyclonal primary antibody detects human, mouse, and rat Eukaryotic translation initiation factor 2C (elF2c), and is affinity-purified. It is validated for use in IHC-Frozen, IHC-Paraffin-embedded, IP, WB.
Immunohistochemical staining with Rabbit polyclonal antibody to mouse elF2c (R-1556-100) in(B) mouse hippocampal area. Fixed (4% paraformaldehyde) mouse brain free floating sections were incubated with R-1556-100 at 1 µg/mL overnight followed by incubation with fluoroscein donkey anti-rabbit IgG conjugate at a dilution of 1:100. Scale bar = 20µm.
Click on image to zoom
SKU: R-1556-100
Ships: 1-2 business days
Product Details
Eukaryotic translation initiation factor 2C (elF2c)
The elF2c (Argonaute, Ago) protein is a core protein of the RNA-induced silencing complex (RISC).
Affinity-purified
Polyclonal
IgG
EM, IHC, IP, WB
Rabbit
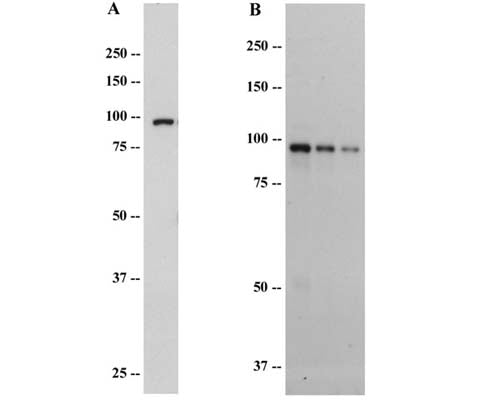
94 kDa
A synthetic peptide corresponding to a sequence (845-860 aa) from the C-terminus of mouse elF2C conjugated to KLH.
Mouse
Human, Mouse, Rat
Spin vial briefly before opening. Reconstitute in 100 µL sterile-filtered, ultrapure water. Centrifuge to remove any insoluble material. At least 12 months after purchase at 2-8°C (lyophilized formulations). After reconstitution, aliquot and store at -20°C for a higher stability and at 2-8°C with an appropriate antibacterial agent. Avoid freeze-thaw cycles.
Lyophilized
Lyophilized from PBS.
WB: 1:1000-1:2000
IHC: 1:200-1:500
IHC: 1:200-1:500
Unconjugated
Specificity has been confirmed by IHC, WB and IP in mouse brain. This antibody is expected to recognize at least elF2c-1, 2 and 3 since they have identical C-termini. Human; mouse; rat; The Ago proteins are highly conserved so cross-reactivity with other species is expected.
For research use only.
United States
12 months after date of receipt (unopened vial).
Protein argonaute-1; Protein argonaute-2; Protein argonaute-3; Argonaute1; Argonaute2; Argonaute3; mAgo1; mAgo2; Eukaryotic translation initiation factor 2C; eIF-2C 2; eIF-2C 1; eIF2C 2; Piwi/argonaute family protein meIF2C2 Protein slicer; Eif2c2; Ago1; Ago2;
25°C (ambient)

