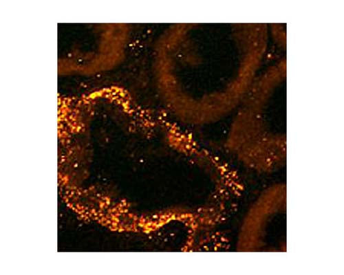
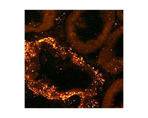
Anti-Atrial Natriuretic Peptide Antibody

Our Anti-Atrial Natriuretic Peptide rabbit polyclonal primary antibody detects bovine (predicted), cat (predicted), dog (predicted), horse (predicted), human, mouse, pig (predicted), and rat Atrial Natriuretic Peptide, and is affinity-purified. It is validated for use in ICC, IHC-Frozen, IHC-Paraffin-embedded.



SKU: R-1500-50

Volume/Size: 50 µg
Price:
Sale price$337.00
Ships: 5-7 business days

Bulk Order Anti-Atrial Natriuretic Peptide Antibody

Related Products

Recently Viewed