Anti-ATRIP (Ser239) Antibody
Our Anti-ATRIP (Ser239) rabbit polyclonal phosphospecific primary antibody from PhosphoSolutions is produced in-house. It detects mouse ATRIP (Ser239) and is antigen affinity purified from pooled serum. It is great for use in WB.
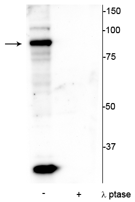
Western blot of mouse testicular lysate showing specific immunolabeling of the ~86 kDa ATRIP protein phosphorylated at Ser239 in the first lane (-). Phosphospecificity is shown in the second lane (+) where the immunolabeling is completely eliminated by lysate treatment with lambda phosphatase (λ-Ptase, 800 units/1mg protein for 30 minutes).
Click on image to zoom
SKU: p116-239
Ships: 1-2 business days
Product Details
ATRIP (Ser239)
ATRIP, ATR interacting protein, binds to ATR to regulate ATR expression, and is an essential component of the DNA damage checkpoint pathway (Cortez et al, 2001). ATR is recruited to DNA lesions in part through its association with ATRIP, which in turn interacts with the single-stranded DNA binding protein RPA (Ball et al, 2007). DNA replication forks may stall as a result of DNA damage causing phosphorylation of several proteins, including BRCA1 when colocalizing with ATR/ATRIP complex and RPA (Venere et al, 2007). The DNA replication fork stall coincides with BRCA1 directly phosphorylating ATRIP at Ser-239 (Venere et al, 2007).
Antigen Affinity Purified from Pooled Serum
Polyclonal
IgG
WB
Rabbit
ATRIP
86 kDa
Synthetic phospho-peptide corresponding to amino acid residues surrounding Ser239 of human ATRIP, conjugated to keyhole limpet hemocyanin (KLH).
Human
Mouse
Bovine, Human, Non-Human Primate, Sheep
AB_2492046
Storage at -20°C is recommended, as aliquots may be taken without freeze/thawing due to presence of 50% glycerol. Stable for at least 1 year at -20°C.
Liquid
Prepared from rabbit serum by affinity purification via sequential chromatography on phospho and non-phosphopeptide affinity columns.
10 mM HEPES (pH 7.5), 150 mM NaCl, 100 µg per ml BSA and 50% glycerol.
WB: 1:500
Unconjugated
Specific for endogenous levels of the ~86 kDa ATRIP protein phosphorylated at Ser239. The antibody also recognizes a band at ~32 kDa.
Phosphorylated
Ser239
Western blots performed on each lot.
For research use only. Not intended for therapeutic or diagnostic use. Use of all products is subject to our terms and conditions, which can be viewed on our website.
After date of receipt, stable for at least 1 year at -20°C.
AGS1 antibody, ATIP antibody, ATM and Rad3 related interacting protein antibody, ATM and Rad3-related-interacting protein antibody, ATR interacting protein antibody, ATR-interacting protein antibody, Atrip antibody, ATRIP_HUMAN antibody, DKFZp762J2115 antibody, FLJ12343 antibody, MGC20625 antibody, MGC21482 antibody, MGC26740 antibody
84126
Blue Ice
- Western Blot Protocol: Download
General References
- Cortez D, Guntuku S, Qin J, Elledge SJ (2001) ATR and ATRIP: partners in checkpoint signaling. Science 294(5547):1713-6. PMID: 11721054
- Ball HL, Ehrhardt MR, Mordes DA, Glick GG, Chazin WJ, Cortex D. (2007) Function of a conserved checkpoint recruitment domain in ATRIP proteins. Mol Cel Biol. 27(9):3367-77. PMID: 17339343
- Venere M, Synder A, Zgheib, and Halazonetis T. (2007) Phosphorylation of ATR-intereacting Protien on Ser239 Mediates an Interaction with Breast-Ovarian Cancer Susceptibility 1 and Checkpoint Function. Cancer Res 67(13): 6100-5. PMID: 17616665

