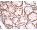
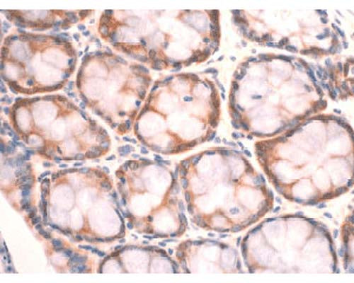
Anti-Peroxiredoxin-4 Antibody
Our Anti-Peroxiredoxin-4 rabbit polyclonal primary antibody detects human and rat Peroxiredoxin-4, and is whole serum. It is validated for use in ELISA, IHC-Frozen, IHC-Paraffin-embedded, WB.
SKU: R-1593-100
Product Details
Peroxiredoxin-4
Peroxiredoxin-4 has a probable role in redox regulation of the cell.
Whole serum
Polyclonal
Mixed
ELISA, IHC, WB
Rabbit
A synthetic peptide (SRVSVADHSLHLSKAKISK) corresponding to a region (65-83 aa) from human Peroxiredoxin-4 conjugated to diptheria toxin.
Human
Human, Rat
Spin vial briefly before opening. Reconstitute in 100 µL sterile-filtered, ultrapure water. Centrifuge to remove any insoluble material. At least 12 months after purchase at 2-8°C (lyophilized formulations). After reconstitution, aliquot and store at -20°C for a higher stability. Avoid freeze-thaw cycles.
Lyophilized
WB: 1:1000-1:4000
IHC: 1:50-1:100
ELISA: 1:1000-1:4000
IHC: 1:50-1:100
ELISA: 1:1000-1:4000
This antibody works in IHC on frozen or wax embedded tissues. Antigen retrieval has been used in testing but may not be necessary. Typical working dilutions for light microscopy are 1:500 to 1:1000. This antibody stains non-ciliated bronchiolar cells in rat lung and what appears to be sebaceous glands in rat skin.
Unconjugated
Human Peroxiredoxin-4 no cross reactivity to other family members.
For research use only.
United States
12 months after date of receipt (unopened vial).
Peroxiredoxin-4; Antioxidant enzyme AOE372; AOE37-2; Peroxiredoxin IV; Prx-IV; Thioredoxin peroxidase AO372; Thioredoxin-dependent peroxide reductase A0372;
25°C (ambient)

