Anti-Neurofilament heavy polypeptide, phosphorylated, (pNF-H) Antibody
Our Anti-Neurofilament heavy polypeptide, phosphorylated (pNF-H) rabbit polyclonal primary antibody detects bovine, horse, human, mouse, other mammals (predicted), pig, and rat Neurofilament heavy polypeptide, phosphorylated (pNF-H), and is whole serum. It is validated for use in IF, ICC, IHC, WB.
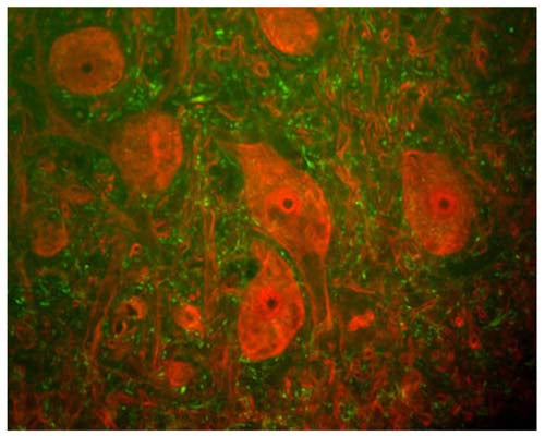
Image of a rat spinal cord section by Immunofluorescence and Immunohistochemistry. The section was stained with R-1388-50, Neurofilament heavy polypeptide, phosphorylated (pNF-H), Rabbit pAb, (green) and co-stained with product M-1407-100, Ubiquitin carboxyl-terminal hydrolase isozyme L1 (UCHL1), Mouse mAb, (red). The neurofilament NF-H antibody binds primarily to phosphorylated axonal forms of NF-H, and so stains axons coursing between the large UCHL1 positive neurons. These large cells are a-motorneurons and UCHL1 protein is a major component of the perikarya and dendrites of these cells.
Click on image to zoom
SKU: R-1388-50
Product Details
Neurofilament heavy polypeptide, phosphorylated (pNF-H)
Neurofilaments are the 10 nm or intermediate filament proteins found specifically in neurons, and are composed predominantly of three major proteins called NF-L, NF-M and NF-H, though other filament proteins may be included also. The major function of neurofilaments is likely to control the diameter of large axons. NF-L is the neurofilament light or low molecular weight polypeptide and runs on SDS-PAGE gels at 68-70 kDa with some variability across species. Antibodies to NF-L are useful for identifying neuronal cells and their processes in cell culture and sectioned material. NF-L antibody can also be useful for the visualization of neurofilament rich accumulations seen in many neurological diseases, such as Lou Gehrig's disease (ALS), giant axon neuropathy, Charcot-Marie Tooth disease and others. (Ref: uniprot.org)
Whole serum
Polyclonal
Mixed
ICC, IF, IHC, WB
Rabbit
200 kDa
This antibody has been made against biochemically isolated NF-H purified from bovine spinal cord.
Bovine
Bovine, Horse, Human, Mouse, Pig, Rat
Spin vial briefly before opening. Reconstitute with 50 µL sterile-filtered, ultrapure water. Centrifuge to remove any insoluble material. Store lyophilized antibody at 2-8°C After reconstitution of lyophilized antibody, aliquot and store at -20°C for a higher stability. Avoid freeze-thaw cycles. Store at 4°C for up to one month for short term storage and frequent use.
Lyophilized
Lyophilized with sodium azide.
WB: 1:10000-1:25000
IHC: 1:1000-1:5000
ICC: 1:1000-1:5000
IHC: 1:1000-1:5000
ICC: 1:1000-1:5000
Unconjugated
Species cross-reactivity includes human, rat, mouse, cow, pig and horse. This antibody reacts with phosphorylated NF-H and is seen as a band at approx 200 kDa in WB. Predicted to react with other mammals due to sequence homology.
For research use only.
United States
12 months after date of receipt (unopened vial).
NF-H; NFH; NF-200; NF200; NF-H; NEFH; N52; Neurofilament heavy polypeptide; Neurofilament triplet H protein; 200 kDa neurofilament protein; KIAA0845
25°C (ambient)

