Anti-Brain-derived neurotrophic factor (BDNF) Antibody
Our Anti-Brain-derived neurotrophic factor (BDNF) rabbit polyclonal primary antibody detects human and other mammals (predicted) Brain-derived neurotrophic factor (BDNF), and is affinity-purified. It is validated for use in ELISA.
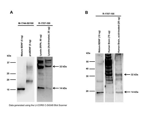
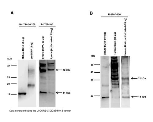
Western blot analysis of BDNF expression in human SH-SY5Y cell lysates (A) and human brain (B). Polyclonal rhBDNF antibody R-1707-100 (1 µg/mL) detects monomeric BDNF at 14 kDa, and monomeric proBDNF at 32 kDa in lysates prepared either in RIPA buffer or in acid-extraction buffer (A). Control antibody M-1744-50/100 (1 µg/mL) confirms detection of mature BDNF (Lane 1) and proBDNF (Lane 2) using BDNF and proBDNF proteins. A second band at 18 kDa is observed in the proBDNF standard, likely to represent a proBDNF degradation product. In human brain (B), R-1707-100 detects mature BDNF (14 kDa) and proBDNF (32 kDa) in both preparations (Tris-buffer and acid-treated). Acid-treated brain demonstrates lower background staining and gives a stronger BDNF signal.
Western Blotting Method: SDS-PAGE: denaturing and reducing, 12% Bis-Tris gel; Transfer: Tris-Glycine buffer, semi-dry transfer; Membrane: nitrocellulose (0.22 µm); Blocking: 5% skim milk in TBST, 1 hour at RT; Primary antibody: overnight at 4°C; Secondary antibody: anti-mouse-HRP or anti-rabbit-HRP (1/6000), 2 hours at RT; Detection: Chemiluminiscence.
Click on image to zoom
Western Blotting Method: SDS-PAGE: denaturing and reducing, 12% Bis-Tris gel; Transfer: Tris-Glycine buffer, semi-dry transfer; Membrane: nitrocellulose (0.22 µm); Blocking: 5% skim milk in TBST, 1 hour at RT; Primary antibody: overnight at 4°C; Secondary antibody: anti-mouse-HRP or anti-rabbit-HRP (1/6000), 2 hours at RT; Detection: Chemiluminiscence.
SKU: R-1707-100
Ships: 1-2 business days
Product Details
Brain-derived neurotrophic factor (BDNF)
BDNF belongs to the neurotrophin family and promotes the survival of neuronal populations that are all located either in the central nervous system or directly connected to it. It is a major regulator of synaptic transmission and plasticity at adult synapses in many regions of the CNS. The versatility of BDNF is emphasized by its contribution to a range of adaptive neuronal responses including long-term potentiation (LTP), long-term depression (LTD), certain forms of short-term synaptic plasticity, as well as homeostatic regulation of intrinsic neuronal excitability. The alterations in BDNF expression induced by various kinds of brain insult including stress, ischemia, seizure activity and hypoglycemia, may contribute to some pathologies such as depression, epilepsy, Alzheimer's, and Parkinson's disease. Microglia release BDNF that may contribute to neuroinflammation and neuropathic pain. SUBUNIT: Monomers and homodimers. Binds to NTRK2/TRKB. SUBCELLULAR LOCATION: Secreted protein. POst translation modification: Converted into mature BDNF by plasmin (PLG). SIMILARITY: Belongs to the NGF-beta family.
Affinity-purified
Polyclonal
IgG
ELISA, Flow, WB
Rabbit
14 kDa, 32 kDa (See application details.)
Antibody was raised against a GST-tagged rhBDNF fusion protein and expressed in and purified from E. coli.
Human
Human
Spin vial briefly before opening. Reconstitute vial with 100 µL sterile-filtered, ultrapure water to obtain a concentration of 1 mg/mL. Centrifuge to remove any insoluble material. Store lyophilized antibody at 2-8°C protected from moisture. After reconstitution divide antibody into useful aliquots and keep aliquots at -20°C to -80°C for a higher stability. Working aliquots can be kept at 2-8°C for up to 1 month. Avoid repetitive freeze/thaw cycles.
Lyophilized
Affinity purified on antigen column.
Lyophilized from a solution containing PBS pH 7.4, 3% trehalose, with 0.05% sodium azide.
WB: 0.2-1 µg/mL
WB: Antibody detects 14 kDa mature BDNF monomer and 32 kDa proBDNF monomer in cell lysate and tissue homonenate. Antibody has only been tested on cell lysate and tissue homogenate of human origin. Acid-treated samples may give cleaner blots, and enhance signals for BDNF. R-1707-100 is not recommended for human serum samples. For human serum analysis, we recommend mouse monoclonal antibody to rhBDNF (M-1744-50/100), or rabbit polyclonal antibody to BDNF peptide 1-10 (R-083-100, whole serum; R-066-500, IgG).
Flow Cytometry: ~2 µg per 10^6 cells, methanol fixation. Note: R-1707-100 cannot be used to distinguish the flow cytometry signal originating from mature BDNF versus proBDNF.
Flow Cytometry: ~2 µg per 10^6 cells, methanol fixation. Note: R-1707-100 cannot be used to distinguish the flow cytometry signal originating from mature BDNF versus proBDNF.
Unconjugated
Human, rat and mouse BDNF. Expected to detect BDNF from other species due to sequence homology. No cross-reactivity with other neurotrophins.
For research use only.
United States
12 months after date of receipt (unopened vial).
Brain-derived neurotrophic factor; Abrineurin
25°C (ambient)

