TrkB (pS478) Positive Control Cell Lysate (Mouse NSC-34)
Our Anti-Tyrosine Kinase Receptor B, phospho Ser478/479 (TrkB, pS478/479) cell lysate detects Tyrosine Kinase Receptor B, phospho Ser478/479 (TrkB, pS478/479), and is crude lysate. It is validated for use in WB.
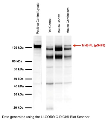
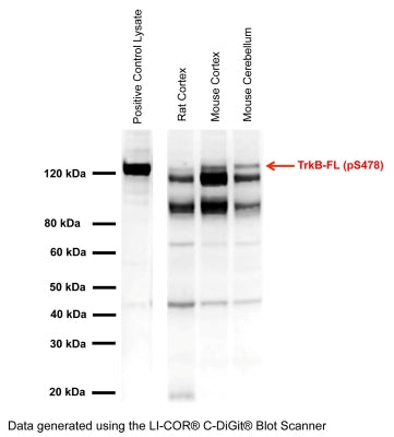
Western blot analysis of TrkB pS478 expression in rodent brain homogenates (40 μg/lane) with R-1718-50, using CL-2107-50 as positive control lysate (10 μg/lane). SDS-PAGE: 4-12%, reducing conditions; Transfer: Towbin’s Tris-Glycine buffer, PVDF membrane (0.45 μm); Blocking buffer and antibody diluent: Mixture of 2.5% skim milk and 2.5% BSA in TBST, blocking 1 hour at RT; Primary antibody: 1 μg/mL, overnight at 2-8°C; Secondary antibody: anti-rabbit-HRP (1/10,000) 2.5 hours at RT; Detection: Chemiluminiscence.
Tissue samples show expression of TrkB phosphorylated at serine residue 478 with a molecular weight of ~120 kDa. The retinoic acid (1 μM)- and BDNF-treated (50 ng/mL, 15 min) cell lysate (10 μg loading) serves as positive control supporting the assignment of the phosphorylated TrkB band. Additional bands are observed in tissue samples that have not yet been characterized.
Click on image to zoom
Tissue samples show expression of TrkB phosphorylated at serine residue 478 with a molecular weight of ~120 kDa. The retinoic acid (1 μM)- and BDNF-treated (50 ng/mL, 15 min) cell lysate (10 μg loading) serves as positive control supporting the assignment of the phosphorylated TrkB band. Additional bands are observed in tissue samples that have not yet been characterized.
SKU: CL-2107-50
Ships: 1-2 business days
Product Details
Tyrosine Kinase Receptor B, phospho Ser478/479 (TrkB, pS478/479)
Receptor tyrosine kinase involved in the development and the maturation of the central and the peripheral nervous systems through regulation of neuron survival, proliferation, migration, differentiation, and synapse formation and plasticity (By similarity). Receptor for BDNF/brain-derived neurotrophic factor and NTF4/neurotrophin-4. Alternatively can also bind NTF3/neurotrophin-3 which is less efficient in activating the receptor but regulates neuron survival through NTRK2. Upon ligand-binding, undergoes homodimerization, autophosphorylation and activation. Recruits, phosphorylates and/or activates several downstream effectors including SHC1, FRS2, SH2B1, SH2B2 and PLCG1 that regulate distinct overlapping signaling cascades. Through SHC1, FRS2, SH2B1, SH2B2 activates the GRB2-Ras-MAPK cascade that regulates for instance neuronal differentiation including neurite outgrowth. Through the same effectors controls the Ras-PI3 kinase-AKT1 signaling cascade that mainly regulates growth and survival. Through PLCG1 and the downstream protein kinase C-regulated pathways controls synaptic plasticity. Thereby, plays a role in learning and memory by regulating both short term synaptic function and long-term potentiation. PLCG1 also leads to NF-Kappa-B activation and the transcription of genes involved in cell survival. Hence, it is able to suppress anoikis, the apoptosis resulting from loss of cell-matrix interactions. May also play a role in neutrophin-dependent calcium signaling in glial cells and mediate communication between neurons and glia (Ref: uniprot.org).
Crude lysate
WB
Mouse
Spin vial briefly before opening. Reconstitute with 50 µL sterile, ultrapure water to achieve a protein concentration of 1 mg/mL (determined by Bradford Assay). Centrifuge to remove any insoluble material. Final buffer contains no preservatives. Store lyophilized lysate at 2-8°C. After reconstitution divide into single-use aliquots and store at -80°C for long-term storage. Aliquots should be used within 1 hour after thawing. Avoid repetitive freeze/thaw cycles.
Lyophilized
This lysate has been prepared in RIPA buffer as crude cell lysate.
Lyophilized from a RIPA cell lysate preparation, without preservatives.
WB: 5-10 µg/lane
Unconjugated
This product has been validated for TrkB (S478/479) phosphorylation by Western Blotting, using rabbit antibody R-1718-50 to TrkB (pS478/479). Treatment of blotting membrane with lambda-phosphatase obliterates TrkB pS478/479 immunoreactivity.
For research use only.
United States
12 months after date of receipt (unopened vial).
GP145-TrkB; Neurotrophic tyrosine kinase receptor type 2; TrkB tyrosine kinase; Tropomyosin-related kinase B; pTrkB; phosphoTrkB; phospho-TrkB
25°C (ambient)

