Anti-PanK4 (Thr63) Antibody
Our Anti-PanK4 (Thr63) rabbit polyclonal phosphospecific primary antibody from PhosphoSolutions is produced in-house. It detects mouse PanK4 (Thr63) and is antigen affinity purified from pooled serum. It is great for use in WB.
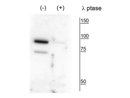
Western blot of mouse whole brain lysate showing specific labeling of the ~86 kDa PanK4 phosphorylated at Ser63 in the first lane (-). Phosphospecificity is shown in the second lane (+) where immunolabeling is nearly eliminated with lambda phosphatase (λ-Ptase, 1200 units for 30 minutes).
Click on image to zoom
SKU: p188-63
Ships: 1-2 business days
Product Details
PanK4 (Thr63)
Pantothenate kinase, PanK, is a vital regulatory enzyme for coenzyme A (CoA) biosynthesis, phosphorylating pantothenate (vitamin B5) to 4’-phosphopantothenate, then quickly transforming to CoA which is an essential component for fatty acid metabolism (Abiko, Y, 1967). There are 4 members of the PanK family, located on chromosomes 10q23.31, 20p13, 5q35, and 1p36.32 (Zhou et al, 2001). PanK1 is predominantly in heart, liver, and kidney. PanK2 is expressed ubiquitously, with higher levels in retinal and infant basal ganglia. PanK3 has high levels in liver, while PanK4 is expressed ubiquitously with its highest levels found in muscle (Zhou et al, 2001). Additionally, PanK4 has been shown to regulate Pkm2 activity affecting glucose metabolism (Li et al, 2005). There have been several phospho-serine, threonine, and tyrosine sites identified within PanK4, the role of each one has yet to be determined.
Antigen Affinity Purified from Pooled Serum
Polyclonal
IgG
WB
Rabbit
PANK4
86 kDa
Synthetic phospho-peptide corresponding to amino acid residues surrounding Thr63 of mouse PanK4, conjugated to keyhole limpet hemocyanin (KLH).
Mouse
Mouse
Hamster, Rat
AB_2636991
Storage at -20°C is recommended, as aliquots may be taken without freeze/thawing due to presence of 50% glycerol. Stable for at least 1 year at -20°C.
Liquid
Prepared from pooled rabbit serum by affinity purification via sequential chromatography on phospho and non-phosphopeptide affinity columns.
10 mM HEPES (pH 7.5), 150 mM NaCl, 100 µg per ml BSA and 50% glycerol.
WB: 1:1000
WB Brain: 1:1000
WB Brain: 1:1000
Unconjugated
Specific for the ~86 kDa PanK4 phosphorylated at Ser63. Immunolabeling of PanK4 is nearly eliminated with λ-phosphatase treatment.
Phosphorylated
Thr63
Western blots performed on each lot.
For research use only. Not intended for therapeutic or diagnostic use. Use of all products is subject to our terms and conditions, which can be viewed on our website.
After date of receipt, stable for at least 1 year at -20°C.
DKFZp547M242 antibody, FLJ10782 antibody, hPanK 4 antibody, hPanK4 antibody, PANK 4 antibody, Pantothenate kinase 4 antibody, Pantothenic acid kinase antibody
269614
Blue Ice
- Western Blot Protocol: Download
General References
- Abiko, Y. Investigations on pantothenic acid and its related compounds. IX. Biochemical Studies. 4. Separation and substrate specificity of pantothenate kinase and phosphopantothenoylcysteine synthetase. J. Biochem (Tokyo) 61, 290-299 (1967). PMID: 6053309
- Zhou B, Westaway S, Levinson B, Johnson M, Gitschier J, Hayflick S. A novel pantothenate kinase gene (PANK2) is defective in Hallervorden-Spatz syndrome.Nat Genet 28, 345-349 (2001). PMID: 11479594
- Li Y, Chang Y, Zhang L, Feng Q, Liu Z, Zhang Y, Zuo J, Meng Y, Fang F. High glucose upregulates pantothenate kinase 4 (PanK4) and thus affects M2-type pyruvate kinase (Pkm2).Mol Cell Biochem 277, 117-125 (2005). PMID: 16132722

