Anti-α1-Catenin (Tyr-148), Phosphospecific Antibody
Our α1-Catenin (Tyr-148) rabbit polyclonal phosphospecific primary antibody from PhosphoSolutions is produced in-house. It detects chicken, human, mouse, and rat α1-Catenin (Tyr-148) and is antigen affinity purified. It is great for use in WB.
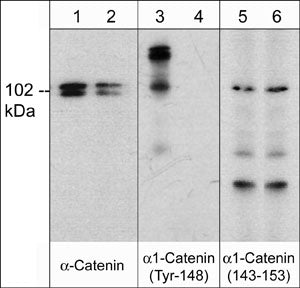
Western blot analysis of rat PC12 cells treated with pervanadate (1 mM) for 30 min (lanes 1, 3, & 5) then the blot was treated with alkaline phosphatase (lanes 2, 4, & 6). The blot was probed with anti-α-Catenin monoclonal (lanes 1 & 2), anti-α1-Catenin (Tyr-148) phospho-specific (lanes 3 & 4), or anti-α1-Catenin (a.a. 143-153) (lanes 5 & 6).
Click on image to zoom
SKU: CP3451
Ships: 1-2 business days
Product Details
α1-Catenin (Tyr-148)
α-catenins are cadherin interacting proteins with homology to vinculin. Three α-catenin genes have been described including α1-catenin (αE-Catenin), α2-catenin (αN-catenin), and α3-catenin (αT-catenin). α1-catenin has 81% homology with α2-catenin and 60% homology with α3-catenin. These α-catenin isoforms may have similar roles since each binds cadherins. However, their expression patterns are both overlapping and distinct. α1-catenin was identified in epithelial cells, and is expressed in various cell types. α2-catenin is enriched in the nervous system, and α3-catenin is expressed highest in testis and heart. Phosphorylation may regulate the activity of α1-catenin, since tyrosine phosphorylation of Tyr-148 occurs during intercellular adhesion. This site is dephosphorylated by SHP2, which inhibits α1-catenin binding to β-catenin and translocation to the plasma membrane. Phosphorylation of α1-catenin at Tyr-148 may be important for inhibition of cell transformation, and dephosphorylation of this site may be important during SHP2-mediated cell transformation.
Antigen Affinity Purified
Polyclonal
IgG
WB
Rabbit
CTNNA1
102
Phospho-α1-Catenin (Tyr-148) synthetic peptide (coupled to KLH) corresponding to amino acid residues around tyrosine 148 in human α1-Catenin. This peptide sequence is highly conserved in rat and mouse α1-Catenin, but is not conserved in α2-Catenin or α3-Catenin.
Human
Chicken, Human, Mouse, Rat
Storage at -20°C is recommended, as aliquots may be taken without freeze/thawing due to presence of 50% glycerol. Stable for at least 1 year at -20°C.
Liquid
PBS + 1 mg/ml BSA, 0.05% NaN3 and 50% glycerol
WB: 1:1000
Unconjugated
This antibody was cross-adsorbed to unrelated phospho-tyrosine peptide before affinity purification using phospho-α1-Catenin (Tyr-148) peptide (without carrier). The antibody detects a 102 kDa* protein corresponding to the molecular mass of α1-Catenin on SDS-PAGE immunoblots of rat PC12 cells treated with pervanadate.
Phosphorylated
Tyr-148
Western blots performed on each lot.
For research use only. Not intended for therapeutic or diagnostic use. Use of all products is subject to our terms and conditions, which can be viewed on our website.
United States
After date of receipt, stable for at least 1 year at -20°C.
alphaE-catenin, catenin alpha1, catenin
Blue Ice

