Anti-Kir2.4 K+ Channel Antibody (N465/11)
Our Anti-Kir2.4 mouse monoclonal primary antibody from NeuroMab is produced in-house from hybridoma clone N465/11. It detects mouse and rat Kir2.4, and is purified by Protein A chromatography. It is great for use in IHC, ICC.
SKU: 75-471
Ships: 1-2 business days
Product Details
Kir2.4
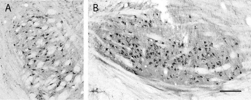
ATP-sensitive inward rectifier potassium channel 14 or Kir1.4 is encoded by the gene KCNJ14. Kir2.4 is a member of the inward rectifier potassium ion channel family and plays a role controlling the resting membrane potential in muscle cells and neurons. Kir2.4 is an integral membrane protein that is expressed in neuronal cells of the cranial nerve, motor nuclei in the midbrain, pons, and medulla.
Purified by Protein A chromatography
1 mg/mL
Monoclonal
N465/11
IgG1
ELISA, ICC, IHC
Mouse
Kcnj14 Irk4
47 kDa
Fusion protein amino acids 360-434 (cytoplasmic C-terminus) of mouse Kir2.4 (accession number Q8JZN3) produced recombinantly in E. Coli
Mouse
Mouse, Rat
AB_2722671
Aliquot and store at ≤ -20°C for long term storage. For short term storage, store at 2-8°C. For maximum recovery of product, centrifuge the vial prior to removing the cap.
Liquid
Produced by in vitro bioreactor culture of hybridoma line followed by Protein A affinity chromatography. Purified mAbs are >90% specific antibody.
10 mM Tris, 50 mM Sodium Chloride, 0.065% Sodium Azide pH 7.125
Unconjugated
No cross-reactivity reported
Each new lot of antibody is quality control tested by IHC on either rat or mouse brain and confirmed to give the expected staining pattern.
These antibodies are to be used as research laboratory reagents and are not for use as diagnostic or therapeutic reagents in humans.
United States
24 months from date of receipt
Kir2.4 (ATPsensitive inward rectifier potassium channel 14) (Potassium channel, inwardly rectifyingsubfamily J member 14) (Kcnj14) (Irk4)
Shipped on ice packs

