Anti-Collybistin Antibody (L120/30)
Our Anti-Collybistin mouse monoclonal primary antibody from NeuroMab is produced in-house from hybridoma clone L120/30. It detects mouse and rat Collybistin, and is purified by Protein A chromatography. It is great for use in IHC, ICC.
SKU: 75-482
Ships: 1-2 business days
Product Details
Collybistin
Rho guanine nucleotide exchange factor 9 or Collybistin is encoded by the gene ARHGEF9. Collybistin is a guanine nucleotide exchange factor (GEF) and is a member of the Rho-like GTPase family. Collybistin functions to cycle active GTP to inactive GDP. Collybistin is involved in microfilament regulation and clustering of some GABA receptors and It is expressed in brain at postsynaptic membranes. Diseases associated with ARHGEF9 include Early Infantile Epileptic Encephalopathy and Hyperekplexia.
Purified by Protein A chromatography
1 mg/mL
Monoclonal
L120/30
IgG1
ELISA, ICC, IHC
Mouse
Arhgef9
50-60 kDa
Fusion protein amino acids 105-455 of rat Collybistin (accession number Q9QX73) produced recombinantly in E. Coli
Rat
Mouse, Rat
AB_2722672
Aliquot and store at ≤ -20°C for long term storage. For short term storage, store at 2-8°C. For maximum recovery of product, centrifuge the vial prior to removing the cap.
Liquid
Produced by in vitro bioreactor culture of hybridoma line followed by Protein A affinity chromatography. Purified mAbs are >90% specific antibody.
10 mM Tris, 50 mM Sodium Chloride, 0.065% Sodium Azide pH 7.125
Unconjugated
No cross-reactivity reported
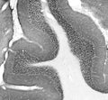
Each new lot of antibody is quality control tested by IHC on either rat or mouse brain and confirmed to give the expected staining pattern.
These antibodies are to be used as research laboratory reagents and are not for use as diagnostic or therapeutic reagents in humans.
United States
24 months from date of receipt
Collybistin (Rho guanine nucleotide exchange factor 9) (Rac/Cdc42 guanine nucleotide exchange factor 9)
Shipped on ice packs

