Anti-EB3 Antibody (KT53)
Our EB3 primary antibody from PhosphoSolutions is rat monoclonal. It detects human, mouse, and rat EB3 and is Protein G purified. It is great for use in WB, ICC.
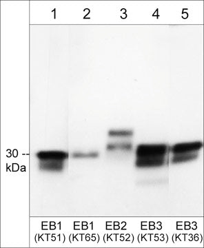
Western blot of EB proteins in mouse brain (lanes 1-5). The blot was probed with rat monoclonals EM5041 anti-EB1 (lane 1), EM5061 anti-EB1/2/3 (lane 2), EM5081 anti-EB2 (lane 3), EM5101 anti-EB3 (lane 4), and EM5091 anti-EB3 (lane 5). Then the antibodies were detected using goat anti-Rat IgG Light Chain specific:HRP (RS3121).
Click on image to zoom
SKU: EM5101
Ships: 1-2 business days
Product Details
EB3
The microtubule (MT) plus-end is a crucial site for the regulation of MT dynamics and interactions by several groups of plus-end tracking proteins (+TIPs). These +TIPs form comet-like accumulations at the plus ends of MTs to regulate MT dynamics and interactions with organelles and macromolecular complexes. The +TIPs include diverse groups of proteins, such as motor and nonmotor proteins, MT polymerases and depolymerases as well as various regulatory and adaptor proteins. The CLIP-associated protein (CLASP) family includes CLASP1 and CLASP2 proteins, which are expressed as long (α) and short (β) isoforms. Thse +TIPs conatin an N-terminal TOG domain, multiple TOG-like domains, and a basic and serine-rich motif (SxIP). The TOG domain facilitates interaction with tubulin dimers, while the SxIP motif promotes interaciton with EB1 and MTs. A C-terminal domain is involved in interaction with CLIPs, as well as several other proteins. CLASPs are MT stabilizing fators that localize to mitotic spindles, kinetochores, and the midbody. CLASPs are important for cell division, and may regulate cell migration and neuronal growth cone motility.
Protein G Purified
Monoclonal
KT53
IgG2a
ICC, WB
Rat
MAPRE3
32
Clone KT53 was generated from a GST fusion protein containing human EB3. This sequence is highly conserved in rat and mouse EB3.
Human
Human, Mouse, Rat
Recommended that the undiluted antibody be aliquoted into smaller working volumes (10-30 uL/vial depending on usage) upon arrival and stored long term at -20° C or -80° C, while keeping a working aliquot stored at 4° C for short term. Avoid freeze/thaw cycles. Stable for at least 1 year.
Liquid
PBS + 0.05% NaN3
WB: 1:1000
ICC: 1:100
ICC: 1:100
Unconjugated
The antibody detects a 32 kDa* prtoein corresponding to the molecular mass of EB3 on SDS-PAGE immunoblots of human HeLa cells and mouse brain tissue. The antibody also detects EB3 by immunocytochemistry in HeLa and A431 cells.
Western blots performed on each lot.
For research use only. Not intended for therapeutic or diagnostic use. Use of all products is subject to our terms and conditions, which can be viewed on our website.
United States
After date of receipt, stable for at least 1 year at -20°C.
Microtubule RP/EB, MAPRE3, APC, EB3, End-binding. RP3
Blue Ice

