Anti-GFAP Recombinant Chicken Chimeric mAb (N206A/8)
Our chicken Anti-GFAP recombinant monoclonal antibody is a chimeric antibody derived from NeuroMab clone N206A/8. It is KO validated, detects drosophila, guinea pig, human, mouse, polar bear, and rat GFAP, and is purified by affinity chromatography. It is great for use in ICC, IHC, WB.
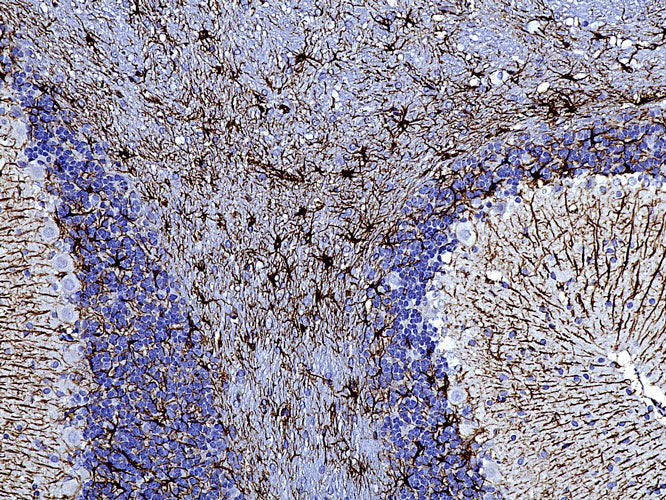
Representative image of 4% paraformaldehyde fixed free-floating rat cerebellum sections stained with Aves Labs anti-GFAP recombinant chicken monoclonal antibody (Cat. 78-240) at 1:1000 dilution. Anti-GFAP specifically stains the astrocytes in the rat brain. Magnification 200X. Image courtesy of EnCor Biotechnology.
Click on image to zoom
Drosophila, Guinea Pig, Human, Mouse, Polar Bear, Rat
ELISA, ICC, IHC, WB
Chicken
SKU: 78-240
Ships: 1-2 business days
Product Details
GFAP
Glial fibrillary acidic protein (GFAP) is an intermediate filament with many different isoforms, and acts as a structural protein in the cytoskeleton. It is expressed in astrocytes in brain and is often used as an astrocyte marker. GFAP is believed to be involved in many CNS processes including cell communication and mitosis. GFAP has been found to be involved in Alexander disease and Wernicke's encephalopathy.
Purified by affinity chromatography
1 mg/mL
Recombinant
N206A/8
IgY
ELISA, ICC, IHC, WB
Chicken
GFAP
50 kDa
Synthetic peptide amino acids 411-422 (KTVEMRDGEVIK) of human GFAP (accession number P14136)
Human
Drosophila, Guinea Pig, Human, Mouse, Polar Bear, Rat
Aliquot and store at ≤ -20°C for long term storage. For short term storage, store at 2-8°C. For maximum recovery of product, centrifuge the vial prior to removing the cap.
Liquid
This recombinant antibody is a chimeric antibody created by replacing the mouse heavy and light constant regions of our NeuroMab clone N206A/8 with chicken IgY heavy and light constant regions. As such this antibody retains the same binding performance as the original clone N206A/8 but can be detected using standard anti-chicken secondary antibodies allowing flexibility for multiplexing applications. This antibody is expressed recombinantly in mammalian cells and then affinity purified from the cell culture media.
1X PBS, 0.05% Sodium Azide pH 7.4
WB: 1:1000
IHC: 1:500
ICC: 1:500
IHC: 1:500
ICC: 1:500
Unconjugated
Cross-reacts with GFAP-R416W and other GFAP mutant proteins. Does not cross-react with other proteins (based on KO validation results).
Each new lot of antibody is quality control tested by Western blot on rat whole brain lysate and confirmed to stain the expected molecular weight band.
These antibodies are to be used as research laboratory reagents and are not for use as diagnostic or therapeutic reagents in humans.
United States
24 months from date of receipt
Glial fibrillary acidic protein (GFAP)
Shipped on ice packs

