Anti-Tyrosine Kinase Receptor A (TrkA) Antibody
Our Anti-Tyrosine Kinase Receptor A (TrkA) rabbit polyclonal primary antibody detects human, mouse, and rat Tyrosine Kinase Receptor A (TrkA), and is whole serum. It is validated for use in ELISA, IHC-Frozen.
SKU: R-152-100
Product Details
Tyrosine Kinase Receptor A (TrkA)
TrkA is a member of the neurotrophic tyrosine kinase receptor family. It is a membrane-bound receptor that upon neurotrophin binding, phosphorylates itself and members of the MAPK pathway. TrkA is required for high-affinity binding to nerve growth factor (NGF), neurotrophin-3 and neurotrophin-4/5 but not brain-derived neurotrophic factor (BDNF). TrkA leads to cell differentiations and may play a role in specifying sensory neuron subtypes. It has a crucial role in the development and function of the nociceptive reception system as well as establishment of thermal regulation via sweating. SUBUNIT: Exists in a dynamic equilibrium between monomeric (low affinity) and dimeric (high affinity) structures. SUBCELLULAR LOCATION: Cell membrane; single-pass type I membrane protein. Endocytosed to the endosomes upon treatment of cells with NGF. ALTERNATIVE PRODUCTS: 2 named isoforms produced by alternative splicing. Both isoforms have similar biological properties. TISSUE SPECIFICITY: Isoform TrkA-II is primarily expressed in neuronal cells. Isoform TrkA-I is found in non-neuronal tissues. Mutations in TrkA have been associated with congenital insensitivity to pain, anhidrosis, self-mutalating behaviour, mental retardation and cancer.
Whole serum
Polyclonal
Mixed
ELISA, IHC
Rabbit
Extracellular domain of glycosylated human TrkA protein produced in mammalian cells was used as the immunogen.
Human
Human, Mouse, Rat
Spin vial briefly before opening. Reconstitute in 100 µL sterile-filtered, ultrapure water. Centrifuge to remove any insoluble material. After reconstitution keep aliquots at -20°C for a higher stability, and at 2-8°C with an appropriate antibacterial agent. Glycerol (1:1) may be added for an additional stability. Avoid repetitive freeze/thaw cycles.
Lyophilized
WB: 1:1000-1:2500
IHC: 1:1000
ELISA: 1:5000
IHC: 1:1000
ELISA: 1:5000
Unconjugated
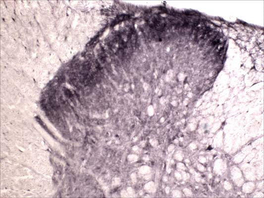
Specificity was demonstrated by immunohistochemistry. When used for immunohistochemistry in rat dorsal root ganglia, staining is restricted to the known distribution of TrkA, that is in small, nociceptive neurons. Reacts with human, rat and mouse TrkA. Other species not yet tested.
For research use only.
United States
12 months after date of receipt (unopened vial).
Tropomyosin-related kinase receptor; High affinity nerve growth factor receptor; Neurotrophic tyrosine kinase receptor type 1; TRK1 transforming tyrosine kinase protein; p140-TrkA; Trk-A; NTRK1; TRK;
25°C (ambient)

