Anti-Atrial Natriuretic Peptide Antibody
Our Anti-Atrial Natriuretic Peptide rabbit polyclonal primary antibody detects bovine (predicted), cat (predicted), dog (predicted), horse (predicted), human, mouse, pig (predicted), and rat Atrial Natriuretic Peptide, and is affinity-purified. It is validated for use in ICC, IHC-Frozen, IHC-Paraffin-embedded.
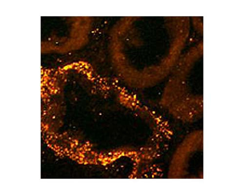
Immunohistochemical staining in convoluted tubules in rat kidney. 4% paraformaldehyde fixed rat kidney crystostat sections (10 µm) were incubated overnight at 4°C with Rabbit polyclonal antibody to rat Atrial Natriuretic Peptide (10 µg/mL) followed by incubation with donkey anti-rabbit Rhodamine Red conjugated secondary antibody (1:200).
Click on image to zoom
Bovine, Canine, Feline, Horse, Human, Mouse, Pig, Rat
ICC, IHC
Rabbit
SKU: R-1500-50
Product Details
Atrial Natriuretic Peptide
The hormone Atrial natriuretic peptide (ANP) is produced by cardiomyocites and is secreted into the bloodstream. ANP acts on convoluted tubules in kidney reducing sodium absorption which results in reducing the blood pressure.
Affinity-purified
Polyclonal
IgG
ICC, IHC
Rabbit
Synthetic rat Atrial natriuretic peptide (123-150 aa) conjugated to BSA.
Rat
Bovine, Canine, Feline, Horse, Human, Mouse, Pig, Rat
Spin vial briefly before opening. Reconstitute in 0.05 mL of sterile-filtered PBS (pH 7.4). Centrifuge to remove any insoluble material. At least 12 months after purchase at 2 - 8°C (lyophilized formulations). After reconstitution, aliquot and store at -20°C for up to 6 months for a higher stability and at 2-8°C with an appropriate antibacterial agent for up to 2 weeks.Avoid freeze-thaw cycles
Lyophilized
Lyophilized with BSA.
IHC: 5-15 µg/mL
ICC: 5-15 µg/mL
ICC: 5-15 µg/mL
Unconjugated
Human; mouse; rat. Highly conserved and expected to interact with feline, canine, porcine, bovine, and equine ANP.
For research use only.
United States
12 months after date of receipt (unopened vial).
Atrial natriuretic factor; ANF; Prepronatriodilatin;
25°C (ambient)

