Anti-LRRK2/Dardarin-pSer910 Antibody (1D8)
Our Anti-LRRK2/Dardarin-pSer910 mouse monoclonal primary antibody from NeuroMab is produced in-house from hybridoma clone 1D8. It detects human and mouse LRRK2/Dardarin-pSer910, and is purified by Protein A chromatography. It is great for use in ELISA, WB.
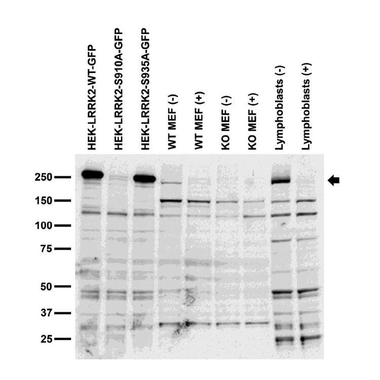
"Endogenous and transfected cell immunoblot: extracts of HEK-293 cells transfected with GFP-tagged LRRK2-WT, LRRK2-S910A or LRRK2-S935A plasmid; fibroblasts from embryonic WT or LRRK2 KO mice untreated or treated with LRRK2-IN-1 inhibitor (2011 Deng et al Nat Chem Biol); and human lymphoblasts untreated or treated with LRRK2-IN-1, probed with 1D8. Data courtesy of Nicolas Dzamko, Paul Davies and Dario Alessi (University of Dundee, Scotland, UK)."
Click on image to zoom
SKU: 75-309
Ships: 1-2 business days
Product Details
LRRK2/Dardarin-pSer910
LRRK2 (also known as PARK8) encodes a protein with 5 putative functional domains: an N-terminal leucine-rich repeat (LRR) domain, a Roc (Ras of complex protein) domain that shares sequence homology to the Ras-related GTPase superfamily, a COR (C-terminal of Roc) domain, a mitogen-activated protein kinase kinase kinase (MAPKKK) domain, and a C-terminal WD40 repeat domain. Mutation in this gene is one of the most common causes of inherited Parkinson disease (Gandhi et al., 2008). LRRK2 was originally identified as a putative disease-causing transcript (DKFZp434H2111) within a 2.6-Mb region encompassing a locus for Parkinson disease-8 (PARK8). Northern blot analysis detected a 9-kb mRNA transcript in all tissues tested, including brain. The authors named the protein product dardarin, derived from the Basque word dardara, meaning tremor. LRRK2/dardarin is also known to positively regulate autophagy through a calcium-dependent activation of the CaMKK/AMPK signaling pathway and together with RAB29, plays a role in the retrograde trafficking pathway for recycling proteins, such as mannose 6 phosphate receptor (M6PR), between lysosomes and the Golgi apparatus in a retromer-dependent manner. LRRK2/PARK8 is also known to regulate neuronal process morphology in the intact central nervous system (CNS) and play a role in synaptic vesicle trafficking.
Purified by Protein A chromatography
1 mg/mL
Monoclonal
1D8
IgG2a
ELISA, WB
Mouse
LRRK2 PARK8
>200 kDa
Synthetic peptide amino acids 904-917 (VKKKSN[pS]ISVGEFY) of human LRRK2 (accession number Q5S007).
Human
Human, Mouse
AB_2315884
Aliquot and store at ≤ -20°C for long term storage. For short term storage, store at 2-8°C. For maximum recovery of product, centrifuge the vial prior to removing the cap.
Liquid
Produced by in vitro bioreactor culture of hybridoma line followed by Protein A affinity chromatography. Purified mAbs are >90% specific antibody.
10 mM Tris, 50 mM Sodium Chloride, 0.065% Sodium Azide pH 7.125
Unconjugated
No cross-reactivity reported
These antibodies are to be used as research laboratory reagents and are not for use as diagnostic or therapeutic reagents in humans.
United States
24 months from date of receipt
Leucine-rich repeat serine/threonine-protein kinase 2 (EC 2.7.11.1) (Dardarin)
Shipped on ice packs

